Búsqueda avanzada
Hemos encontrado "20" resultados para Área "Diagnóstico"
MÉTODO DE PREDICCIÓN DE LOS EFECTOS FENOTÍPICOS DE AGENTES ...
Los fármacos llevan a cabo su actividad inhibiendo las funciones de los productos de los genes cuya alteración causa la ...
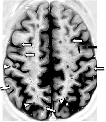
MÉTODO IN VITRO PARA EL DIAGNÓSTICO Y LA IDENTIFICACIÓN ...
El diagnóstico de la Esclerosis Múltiple (EM) es complejo y, en la actualidad, no existe ningún biomarcador ...
IDENTIFICACIÓN DE COMPUESTOS QUE PREVIENEN LA AGREGACIÓN DE PROTEÍNAS ...
El mal plegamiento de ciertas proteínas, desencadenado por mutaciones en los genes que las codifican o por cambios en el ...
MÉTODO DE DIAGNÓSTICO DE PACIENTES CON ARTRITIS REUMATOIDE
La artritis reumatoide (AR) es una enfermedad crónica que causa daño articular, discapacidad y una mala calidad de vida.
Detectar ...
MARCADORES BIFOTÓNICOS DE MITOCONDRIAS
Las mitocondrias son los orgánulos subcelulares encargados de gestionar el suministro de energía a la célula. Estos orgánulos están rodeados ...
MÉTODO PARA EL DIAGNÓSTICO Y PRONÓSTICO DEL CÁNCER DE ...
El cáncer de endometrio representa aproximadamente el 7% de los nuevos casos de cáncer diagnosticados, y está relacionado con aproximadamente ...
MÉTODO PARA PREDECIR LA RESPUESTA A INMUNOTERAPIA EN PACIENTES ...
El cáncer es una de las enfermedades más estudiadas en los últimos años, debido a su gran incidencia y mortalidad ...
NANOPARTÍCULAS MESOPOROSAS DE SÍLICE Y SU USO EN EL ...
Actualmente la detección in vitro de inmunoglobulinas en suero constituye una estrategia utilizada para el diagnóstico de una multitud de ...
DISPOSITIVO LUMINOSO CON DIODOS LED PARA FOTODIAGNÓSTICO Y FOTOTERAPIA
Dispositivo para tratamientos de terapia fotodinámica, fototerapia y fotodiagnóstico consistente en una luminaria basada en tecnología LED cuya configuración geométrica ...
-
< anterior
1
2
3
siguiente >




